Dinte rupt sau dinte fracturat? Cum poți salva rădăcina și reconstrui cu o coroană dentară
Un dinte rupt sau un dinte fracturat nu înseamnă automat că trebuie extras. Deși mulți pacienți cred că implantul dentar este singura soluție, în realitate, stomatologia modernă permite salvarea rădăcinii și reconstrucția dintelui cu ajutorul unei coroane dentare.
În multe cazuri, chiar dacă partea vizibilă a dintelui este grav afectată, rădăcina rămâne sănătoasă și poate fi folosită ca suport pentru un dinte nou, funcțional și estetic.
Păstrarea rădăcinii naturale oferă beneficii importante: menține osul, asigură o masticație naturală și permite o soluție durabilă pe termen lung.
Cazuri clinice, dinți rupți salvați
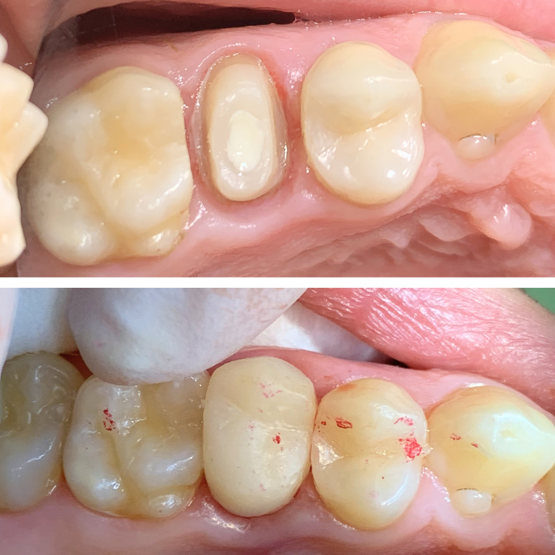
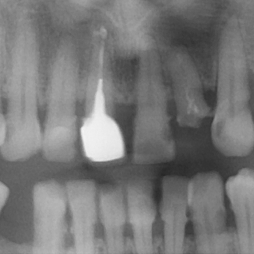
Cazul 1.

Dinte rupt cu coroană veche incorect adaptată și tratament de canal defectuos.

Aspectul restului radicular inainte si dupa indepartarea cariei.

Aspectul dupa reconstructia dintelui in vederea realizarii tratamentului de canal si realizarea unei coroane provizorii in cabinet.

Aspectul bontului dentar dupa aplicarea pivotului din fibra de sticla si gata de amprentat pentru a primi coroana definitiva.

Aspectul radiologic dupa tratamentul de canal, inserarea pivotului si cimentarea coroanei definitive.
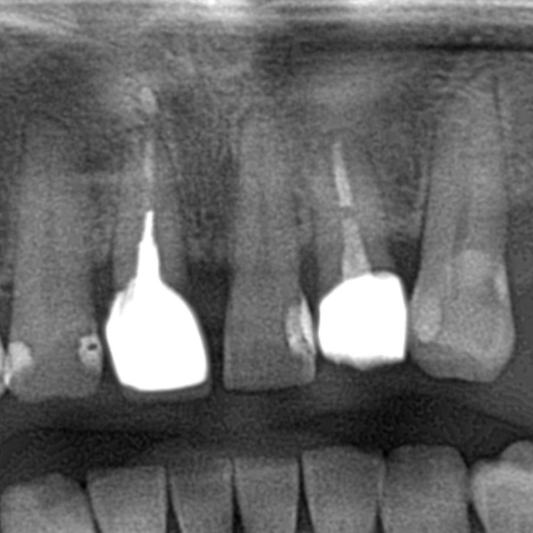
Cazul 2.

Pacienta s-a prezentat cu o fractura coronara la nivelul incisivului lateral.

Aspectul radiologic dupa tratamentul de canal, inserarea pivotului si cimentarea coroanei definitive.
Ce presupune salvarea rădăcinii unui dinte rupt sau fracturat
Pacienții care ajung la medic cu un dinte rupt sau un dinte fracturat au adesea șanse reale de a-și salva dintele.
Atunci când rădăcina este intactă și sănătoasă, medicul poate reconstrui dintele pe baza acesteia.
Procesul include:
- tratarea infecției din interiorul dintelui
- consolidarea rădăcinii
- reconstruirea structurii dentare
- aplicarea unei coroane dentare
Situații frecvente:
- carii profunde cu afectarea nervului
- fracturi ale coroanei dentare (dinte fracturat sau dinte rupt)
- dinți tratați pe canal în trecut
- dinți erodați sau tociți
- distrugerea severă a coroanei dentare
Condiții pentru salvarea dintelui:
- rădăcina este stabilă și suficient de lungă
- osul din jur este sănătos
- nu există fracturi verticale ale rădăcinii
- infecția poate fi tratată
Cum se reconstruiește un dinte fracturat pe rădăcină
În cazul unui dinte rupt sau dinte fracturat, reconstrucția pe rădăcină este o soluție eficientă și conservatoare.
1. Tratamentul de canal
Tratamentul de canal elimină infecția din interiorul dintelui. Canalele sunt curățate, dezinfectate și sigilate pentru a preveni reinfectarea.
2. Pivot dentar și reconstrucție
Pentru stabilitate, se introduce un pivot dentar în rădăcină. Acesta susține structura noului dinte.
Ulterior, medicul reconstruiește baza dintelui folosind materiale moderne rezistente.
3. Coroana dentară
Coroana dentară este etapa finală și esențială în tratamentul unui dinte rupt sau dinte fracturat.
Aceasta acoperă complet dintele, oferind:
- rezistență
- funcționalitate
- estetică naturală
Materialele precum ceramica sau zirconiu oferă rezultate excelente și durabile.
Avantajele tratamentului pentru dinte rupt sau fracturat
Pentru pacienții cu dinți rupți sau dinți fracturați, salvarea rădăcinii vine cu multiple beneficii:
- menține structura naturală a dintelui
- previne pierderea osoasă
- oferă confort la masticație
- este mai puțin invaziv decât implantul
- poate avea o durată mai scurtă de tratament
Când nu mai poate fi salvat un dinte rupt
Există și situații în care un dinte fracturat nu mai poate fi recuperat:
- fractură verticală a rădăcinii
- pierdere severă de os
- mobilitate dentară accentuată
- infecții persistente
În aceste cazuri, implantul dentar devine soluția recomandată.
Cât rezistă un dinte reconstruit cu coroană dentară
Un dinte reconstruit corect poate rezista între 10 și 20 de ani sau chiar mai mult.
Durata depinde de:
- calitatea tratamentului de canal
- adaptarea coroanei dentare
- igiena orală
- controalele regulate
- obiceiuri precum scrâșnitul dinților
Dacă ai un dinte rupt sau un dinte fracturat:
- mergi cât mai repede la medicul stomatolog
- evită să mesteci pe partea afectată
- păstrează fragmentul (dacă există)
- nu amâna tratamentul
Intervenția rapidă crește șansele de salvare a dintelui.
Un dinte rupt sau un dinte fracturat nu trebuie considerat pierdut. În multe situații, rădăcina poate fi salvată și utilizată pentru a reconstrui un dinte funcțional și estetic cu ajutorul unei coroane dentare.
Stomatologia modernă nu înseamnă doar înlocuire, ci conservare și reconstrucție inteligentă.
Autor I Dr. Diana Mârzac
Medic stomatolog Sector 3 București